歯周病治療
このページの目次
- 1 歯周病に5つの精密治療で対応しています
- 2 ① 歯茎を切らない・縫わない世界初の歯周病治療「ブルーラジカル」
- 3 ② 炭酸ガスレーザーを用いた低侵襲な歯周病治療
- 4 ③ 歯周病治療・ケアができる注目の「POICウォーター」を採用
- 5 ④ 組織の回復には歯周再生療法で対応
- 6 ⑤ 虫歯や歯周病を3DSで予防
- 7 日本人は約80%が歯周病の疑い
- 8 歯磨きだけでは虫歯や歯周病の対策は無理?
- 9 歯周病は妊娠・心疾患・脳卒中・糖尿病などに関係している?
- 10 歯周病と糖尿病、両者の関係性について
- 11 一般的な歯周病の治療方法
- 12 一般的な歯周病治療例「根気強く丁寧に治療してくれたおかげです」
- 13 予防歯科受診の方と、ホームケア(歯磨き等)のみの方の生涯治療費の差は?
- 14 年を取ってから歯の健康を後悔してしまう
- 15 川口市で予防歯科をご希望の際にはぜひ当院へ
歯周病に5つの精密治療で対応しています

あい歯科医院西川口では、歯周病によって歯が安定しない、または他の医院にて抜歯を提案されたなどのご相談を、川口市だけでなく大変広い地域の方から頂いております。当院では可能な限り抜歯をしない治療を行っておりまして、ご相談頂いた多くの患者様も抜歯することなく治療を進めさせて頂いております。当院の歯周病治療は一般の歯科治療よりも成功率が高く、多くの患者様よりご信頼を頂いておりますが、その理由を以下の5点よりご紹介させて頂きます。
① 歯茎を切らない・縫わない世界初の歯周病治療「ブルーラジカル」

あい歯科医院では、世界初の歯周病治療機器「ブルーラジカル P-01」を用いた先進的な歯周病治療に対応しています。 歯茎を切開しない非外科的治療のため、中等度~重度の歯周病でお悩みの方も安心してご相談いただけます。
ブルーラジカルP-01(Blue Radical)とは?

ブルーラジカルP-01(Blue Radical)は、東北大学が開発した、重度歯周病に対する非外科的治療を可能にした世界初の歯周病治療機器です。過酸化水素に青色レーザーを照射して発生するフリーラジカル(活性酸素)の力で歯周病菌を殺菌し、さらに超音波振動によって歯石やプラークを除去することで、外科手術を行わずに中等度~重度歯周病の改善を図ります。
厚生労働省に認可された歯周病治療機器
ブルーラジカルP-01(Blue Radical)は、1回の治療で従来の歯周病治療と比べて「歯茎の腫れ」や「歯周ポケット」の改善が期待できることが治験で確認されています。
人体への安全性も証明されており、厚生労働省に認可された歯周病治療機器です。
従来の歯周病治療とブルーラジカルの比較
従来の歯周病治療/超音波振動のみ

従来の歯周病治療は、超音波振動による物理的な歯石除去が中心のため、重度に進行した場合は歯石の取り残しが生じやすく、改善が困難となる。
※症状によって、外科処置や副作用を伴う薬剤の使用が必要となる。
ブルーラジカル/超音波振動+ラジカル殺菌

超音波振動による歯石除去と過酸化水素+青色レーザーによる「ラジカル殺菌」を組み合わせることで、虫歯や歯周病の原因菌を99.99%殺菌します。歯茎を切らない非外科的な歯周病治療として、症状の改善が期待できます。
ブルーラジカルのメリット・デメリット
【メリット】
- 外科処置が不要
歯茎を切開する外科処置が必要ないため、治療に伴う痛みや腫れが少なく、患者さまの身体への負担を抑えることができます。 - 治療後の再発リスクを軽減できる
口腔内細菌を99.99%殺菌し、歯周病の原因菌を大幅に減少させることで、再発リスクの軽減が期待できます。 - 副作用やリスクが少ない
ラジカル殺菌は細菌にのみ作用するため、人体への影響が少ないことが特長です。薬剤による副作用やトラブルのリスクも抑えられます。 - 短期間での治療が期待できる
外科処置がなく術後の回復が早いため、治療期間の短縮が期待できる。
【デメリット】
- 適応症例が限られる
ブルーラジカルによる治療は、中等度~重度の歯周病が対象となるため、軽度の歯周病など、症例によっては適応できない場合があります。
※軽度の歯周病では、従来の治療でも十分な効果が期待できます。 - 自費診療の扱いとなる
ブルーラジカルを用いた非外科的歯周病治療は先端技術による治療のため、自費診療となります。そのため、保険診療の歯周病治療と比べて費用が高くなる場合があります。
ブルーラジカルによる歯周病治療が受けられない方
- 麻酔注射が困難な方
- 妊娠中の方
- ペースメーカーを使用されている方
- 光過敏症の方
- 無カタラーゼ症の方
ブルーラジカルによる歯周病治療の流れ
①検査・カウンセリング

問診や口腔内チェック、レントゲン・歯周病検査を行い、ブルーラジカルの適応を確認します。
②ラジカル殺菌・スケーリング

ブルーラジカルを使用し、歯周ポケット内の殺菌と超音波による歯石除去を同時に行います。
③アフターケア・メンテナンス

治療後は、定期的にご来院いただき、症状の経過観察とメンテナンスを行います。
② 炭酸ガスレーザーを用いた低侵襲な歯周病治療
炭酸レーザーを歯周ポケット内に照射することで、歯周病菌の殺菌をはじめ、炎症による歯茎の腫れや出血を抑えることができます。
また、レーザー照射によって血行が良くなり、組織が活性化されるため、治癒の促進や免疫力の向上が期待できます。
「レーザー治療は痛みがなくて安心して受けられました」(30代 男性)
こちらの方は、来院された時は中等度の歯周病に罹患されていました。歯周病とは、歯周病菌による感染症で、成人の8割以上の方が持つ世界で一番感染者数の多い病気と言われています。
歯を失う原因のトップもむし歯ではなく歯周病であり、初期には痛みなどがないため、静かに進行して、気づいた時には歯を支える骨が溶け出し、歯が抜けてしまうということもあるものです。
あい歯科医院西川口では、本人の自覚症状がない場合でも、レントゲン検査、歯周病のポケット測定検査などを通して歯周病の状態を、細かくチェックをしています。
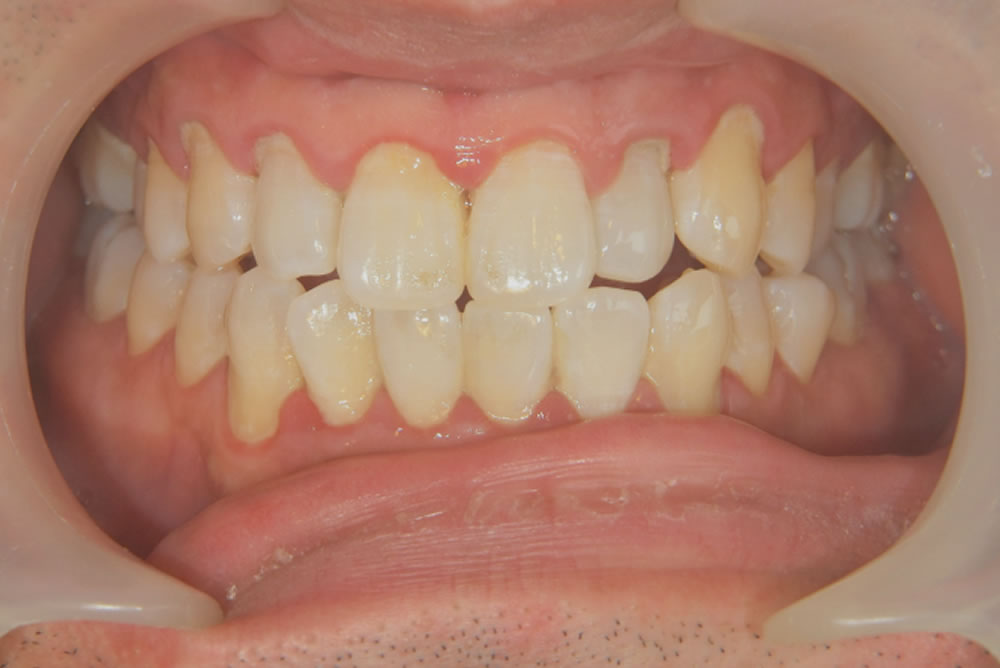
初診時の口腔内
今回は、それほど自覚症状はありませんでしたが検査の結果、歯周病と診断され、その原因となる歯や歯肉の上、歯肉の中に付着した歯石やプラーク(細菌の塊)を丁寧に取り除く治療を行いました。
また、合わせてTBI(歯ブラシ指導)も何度か行い、日ごろの自身での歯ブラシの癖を知り、効果的なプラーク除去ができる歯ブラシを練習して頂きました。加えて、歯間ブラシなどの補助用具の使い方も習得して頂きました。
レーザー治療の実施
今回は、そこに効果的なレーザー治療も合わせて行うことで、より確実に早い治療効果が得られました。歯ぐきが赤っぽく腫れていた箇所も、きゅっと引き締りハリも出てきたことを写真を見ながら一緒に確認して頂き、ご本人の治療に向き合うモチベーションにつながったようです。
治療完了
レーザー治療後、歯肉が引き締ってきました。
西川口のあい歯科医院西川口の炭酸ガスレーザーは99パーセント以上が水分に吸収されるという性質があります。
痛みや炎症が起きている部位は水分が多いので特定部位だけに作用し、他の部位への影響を及ぼすことはほぼ無く、安全なレーザーとされています。副作用もほぼないため、安心して治療を受けていただけます。
レーザー治療は歯周病治療以外にも、歯を抜く治療、インプラント治療、歯ぐきを綺麗にする審美治療など、様々な場面で活躍するもので、当院では欠かすことのできないものとなっています。
関心のある方はお気軽にお問い合わせください。
| 年齢・性別 | 30代 男性 |
|---|---|
| 治療期間 | 3ヵ月(※レーザー治療2回) |
| 治療費(税込) | レーザー歯周病治療 保険適用 |
| 副作用とリスク | ・レーザー光が直接眼に入ってしまった場合、網膜に障害を起こす危険性が指摘されていますが、保護メガネを使用しますので心配はいりません。 |
③ 歯周病治療・ケアができる注目の「POICウォーター」を採用
あい歯科医院西川口ではPOIC(ポイック)ウォーターを使用しての歯周病治療、口腔ケアに取り組んでいます。院内では、むし歯治療、歯周病治療で使用するほか、ホームケアとしてご自宅で簡単にブクブクうがいをする洗口剤として利用することで、口腔内を清潔に保つことが期待できるお水です。きっとお手軽に、効果を感じて頂けるはずです。
POICウォーターについて
POICウォーターは、人の血液の中にある免疫成分の一つ、HCIO(次亜塩素酸)という成分の機能水です。この成分を高い濃度の塩と水だけで、機械的に電気分解し、生成された電解機能水です。
不純物を徹底的に取り除いた超純水と、純度99.9%の塩を混合し「電気分解」した、薬品を全く使用しない除菌水ですので、体内に入っても安全なものです。
一般的に店頭で買える洗口剤よりも、安全性と除菌力に大きな差があると言えます。口腔内のプラークは時間がたつとバイオフィルムという膜で覆われ、これは、流しやお風呂のヌメリのように落ちにくくなるのに近い状態になります。この、タンパク質汚れを分解する力は市販のものでは弱く、POICウォーターではタンパク質汚れを分解し、菌を除菌する働きがあるから効果的なのです。
市販品は、アルコール系や様々薬品を含むものが多く、すっきり感を出すことがメインになることが多いのかもしれません。
よくあるご質問で「プール臭がしませんか?」というものがあります。漂白剤のハイターを連想するかもしれません。これはお口の中の歯垢(プラーク)がPOICウォーターによって分解されるときに発生する「クロラミン」という成分です。
使用を始めた時は、お口の中の汚れも多いことから特に臭いを感じるかもしれません。次第に使っていくと、お口の中の汚れも取れ、臭い成分も少なくなることで臭いを段々と感じなくなってきます。臭いを感じている時は「汚れが分解している最中だ」と考えましょう。
POICウォーターの洗浄効果
▼POICウォーターを使用して30秒間洗口した時の洗浄効果

POICウォーターを使用した洗口の様子を動画でご紹介
▼動画で実際の洗口の様子をご覧下さい。
POICウォーターが効果的な方
- むし歯、歯周病などにつながる菌が多い方
- 口臭が気になる方
- 歯ブラシが苦手な方
- インプラントの治療をされ周囲炎が心配な方 など
あい歯科医院西川口では院内の空気もPOICウォーターで除菌しています
待合室で、こちら加湿器のような装置をご覧頂いたことがあるでしょうか。水蒸気が沢山出ているので、加湿器と間違われるのですが、こちらは「POIC除菌水の噴霧器」なのです。
テレビのコマーシャルで「次亜塩素酸で空気を洗う」「次亜塩素酸空気清浄機」「空間除菌脱臭機」などいった家電メーカーの商品をご覧い頂いた方も多いかと思います。
空気中に浮遊している細菌やカビ・ウィルス等の除菌を行う優れもので、インフルエンザの予防にも役立っているようです。
POICウォーターはご自宅でもお使いいただけます
POICウォーターはご自宅でケアに有効なことから、小分けしたボトルでの販売も行っております。
あい歯科医院西川口の院内で精製しているこの機能水をお気軽に自宅で使用できます。詳しくはスタッフまでお尋ねください。
④ 組織の回復には歯周再生療法で対応
重度の歯周病により破損してしまった骨や歯根膜などは、歯周組織の再生療法にて対応致します。破損してしまった組織を再生させることにより、毎日のケアも行いやすくなり、歯垢や歯石のつきにくい状態にできます。歯垢や歯石は歯周病の原因となるものですので、適切なケアにより歯周病の再発を抑えられるというメリットもあります。なお、こちらの治療は症状の重い歯周病に対して行われる外科的治療法となっております。
⑤ 虫歯や歯周病を3DSで予防
予防歯科治療である3DS(Dental Drug Delivery System)で虫歯や歯周病の原因菌を除去していきます。殺菌用のお薬の入ったマウスピースを使用してお口全体をケアしていくことにより、歯垢や歯石の付きにくい状況とし、歯周病のリスクを軽減していきます。こちらの治療方法は以下の症状の方におすすめです。
日本人は約80%が歯周病の疑い

日本人は約80%の人が歯周病、または予備軍といわれています。比較的認知度の高い病気であるにもかかわらず、予防意識の高くない病気のため、大変多くの方に歯周病の疑いがあるのが現状です。患者様の中には歯茎に異常を感じて歯周病を疑う方も多く、悪化して症状が出るまで気づかないことも少なくありません。毎日歯磨きしているからと入って油断できないのが歯周病ですので、異常を感じる前にぜひ歯科医院にて検診を受けてみて下さい。
歯磨きだけでは虫歯や歯周病の対策は無理?

子供の頃から毎日歯磨きを行うことが習慣になっている方も多いことでしょう。ですがこの歯磨きだけでは虫歯や歯周病の対策としては不十分なのです。歯にはバイオフィルムという歯周病菌が付着することもあり、このバイオフィルムは歯磨きでは落とすことができないのです。そのため定期的な歯科医院での検診が重要となります。
歯周病は妊娠・心疾患・脳卒中・糖尿病などに関係している?

歯周病は歯や口の中の病気以外とも関係していることが、近年わかってきました。原因菌が歯茎の血管へと侵入し、その菌が全身に回ることで様々な病気を誘発する可能性があることがわかっています。心臓や脳の疾患、また糖尿病などのリスクが高まるとのことですので、歯周病を放置することはとても危険なことになります。また妊娠中の方は早産や低体重での出産などのリスクが高まるとのデータもありますので、歯周病はしっかりと予防しておきたい病気の一つと言えるでしょう。
歯周病と糖尿病、両者の関係性について
歯周病と糖尿病は互いに症状を悪化させやすい関係性にあります。ですが歯周病を完治させることによって糖尿病の症状を和らげる期待もできるため、糖尿病の方は特に歯周病の治療をおすすめします。
一般的な歯周病の治療方法

歯周病治療ではまず歯周ポケットの状態を測定するところから始まります。これにより進行具合を確認することができ、この検査結果を基に適切な治療方法を決定していきます。
軽い症状へは歯のクリーニングを行う
比較的軽い症状の場合には、歯石除去を中心とした歯のクリーニングを行っていきます。歯磨きでは除去することができない歯石やバイオフィルムをクリーニングによって除去し、健康的でキレイな歯にしていきます。この治療では歯石除去を段階的に行っていくため、数回の通院で歯周病対策が可能となります。
中程度の症状へはルートプレーニングで対応
奥深くまで歯石がついてしまっている状態は中程度の歯周病の進行具合です。このような症状で歯周ポケットの奥に歯石や汚れがある場合にはルートプレーニングという方法で除去していきます。場合によっては出血や痛みを感じることもありますので、麻酔をして治療が行われます。
重い症状には歯周外科・歯周再生療法

炎症が伴って歯周ポケットが深くなるとスケーラーが届かなくなるため、ルートプレーニングでは対応することが困難となる場合があります。このような状態となると重度の歯周病となります。麻酔をかけて歯茎を切開して歯石を除去していくことになります。歯周組織が破損してしまった場合には、組織を再生させるエムドゲインを必要とすることもあります。
一般的な歯周病治療例「根気強く丁寧に治療してくれたおかげです」
▼当院で実施した歯科衛生士による一般的な歯周病治療の症例をご紹介いたします。
こちらの方は、むし歯と歯周病ほか全体を治療して欲しいとのことで、ホームページを見て来院されました。初診時にまず専門の相談員から話を伺い、担当医と担当歯科衛生士で治療計画を立て、ご本人に確認していただきながら治療を進めていくことになりました。
最初に歯周病の精密検査を行った結果、重度の歯周病であることが分かりました。歯石が多く付着しており、歯がぐらぐらと動揺する部分もあり、ブリッジの脱落もありました。
そこで、歯周病リスクについてご説明し、スケーリングや歯ぐきの奥の汚れの除去を繰り返し、同時にご自身で日ごろの歯磨きが効果的にできるように、プラーク(歯垢)を染め出してブラッシングの仕方の説明や練習を重ねていきました。
(画像はイメージです。)
【※初診時の歯周病検査の結果】
染め出しはお子さんの歯磨き指導の際に使うものという認識の方もいらっしゃいますが、大人にもとても有効で、正しいブラッシングを身に着けるために欠かせないものです。
まず、専用の染色剤でプラークの付着度を歯科衛生士がチェックします。そこで磨けていないところを視認し、前回までと比較しながら、プラークの付着度を患者様にチェックして頂きます。
歯周病はむし歯と違い、自覚症状がなく静かに進行することからサイレント ディジース「静かな病気」と言われます。
定期的に歯医者にいくことのない方にとっては、気付いた時には歯を失ってしまうこともあります。日本人の成人の約8割が罹患していると言われ、世界で最も一般に蔓延している感染症としてギネスブックにも載っています。
ご本人は、過去に歯医者の麻酔で嫌な思いをしたことや、怖がりな部分があったとのことで、どうしても歯医者から遠のいていたとのことです。痛いことは苦手で、出血することを恐れ、柔らかく大き目の歯ブラシでなでるようにそっと磨いていました。
歯みがき時の出血は、強く当てすぎで出てしまうことよりも、歯肉の炎症によって出ることが多いものです。
今回の歯周病治療とともに、ご自宅の歯ブラシも「ヘッド大きめ柔らかめ」のものから「コンパクトでふつうの硬さ」に変更し、今まで使っていなかった補助用具として歯間ブラシ、加えて殺菌水(POICウォーター)をお使いいただくようになり、改善が進んでいます。
歯周病は生活習慣病と言われており、歯周病菌だけではなく、日々の生活が大きく関わってくる病気です。食事、生活リズム、喫煙習慣の改善など、様々なアプローチが必要となってきます。歯科医院と患者様が二人三脚で継続的な信頼関係を築いていくことが何より大切だと考えています。
| 年齢・性別 | 30代 男性 |
|---|---|
| 治療期間 | 歯周病安定期治療継続中 |
| 治療費(税込) | 保険適用 |
| 副作用とリスク | 歯周病治療には患者様の協力が欠かせません(ご自宅でのケアや生活習慣の改善など) |
予防歯科受診の方と、ホームケア(歯磨き等)のみの方の生涯治療費の差は?


(出典:日吉歯科診療所調べ)
こちらの画像は予防歯科を受診していた方とホームケアのみの方の生涯治療費の比較になります。ホームケアのみの方は虫歯ができた時にだけ通う形のため、治療費が高くなっていることがわかります。場合によっては抜歯をすることにもなるため、自身の歯を維持することが難しくなります。このような状況とならないよう、予防歯科を受診し虫歯や歯周病を未然に防ぐことをおすすめします。
年を取ってから歯の健康を後悔してしまう

(出典:雑誌PRESIDENT(㈱プレジデント社調べ)
55~74歳の方を対象とした「若い時にしておけば良かったこと」のアンケートでは、年齢を重ね徐々に歯が失われてきた頃に「歯を大切にしておけば…」と後悔をされていることがわかります。若年層では比較的関心が薄いのですが、歯への後悔をする方は大変多いのが現状です。年を取ってから後悔をしてしまわないためにも、歯科医院での定期検診は大切に行っておきましょう。
川口市で予防歯科をご希望の際にはぜひ当院へ

当院あい歯科医院西川口では予防歯科を重視しており、川口市のみならず多くの地域の方にご利用頂いております。歯周病は放っておくとどんどん進行していってしまいます。早めの治療、そして予防検診を受けて健康的な口腔内を目指していきましょう。川口市で予防歯科、歯周病治療をご希望の際には、ぜひあい歯科医院西川口までお気軽にご相談頂ければと思います。










