【確認】当日1回で歯が白くなるホワイトニングの症例
当日1回で歯が白くなるホワイトニングの症例
こちらの患者さんは、矯正治療終了後にホワイトニングをご希望され、当院に初診で来院されました。
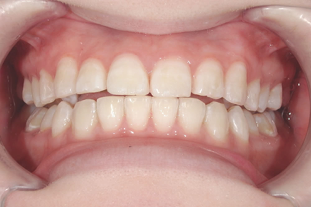
初診時の状況
矯正治療に使用したブラケットのセメントが歯面に残留し、その上からステイン(着色)が沈着していました。
また、歯肉の腫れも見られたため、通常であればスケーリングとTBI(歯みがき指導)を先行し、炎症が落ち着いた後にホワイトニングを行うのが望ましいことをご説明しました。
しかし、患者さんの強い希望もあり、当日に施術を実施しました。薬剤が歯肉に付着しないよう、保護剤を通常より厚めに塗布し、歯頚部(しけいぶ=歯根と歯冠の境界のこと)を1mm弱カバーするようにして処置を行いました。
そのため、歯頚部に薬剤が十分に浸透しない可能性や、歯の色の一部にコントラスト(明暗の差)が出るリスクについて事前にご説明し、ご同意をいただいたうえで施術を行いました。
治療内容

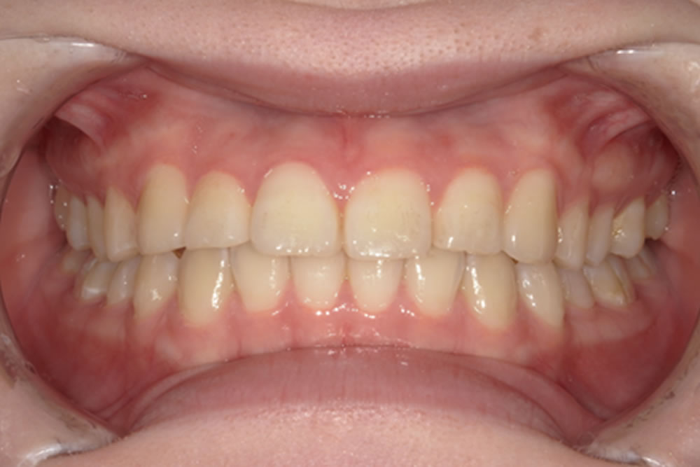
まず、ポリッシングで歯面のステインや残留セメントを除去しました。その後、歯肉保護材(ジンジバルバリア)を使用し、オフィスホワイトニング剤「オパールエッセンス BOOST」を15分×3サイクル塗布しました。
治療前後の比較
| 年齢・性別 | 20代 女性 |
|---|---|
| 治療期間 | 1日(約120分) |
| 治療費(税込) | オフィスホワイトニング 22,000円(1回) ※ホームホワイトニング 44,000円(初回トレー作成・後日お渡し) |
| 副作用とリスク | ホワイトニング処置後は、一時的にしみる症状が出ることがあります。また、歯頚部や矯正治療後の脱灰部分など、歯の状態によっては色むらが生じることがあります。効果を維持するためには、定期的なメンテナンスとホームケアの併用が重要です。 |






